Menu
Rosters Linescore
Boxscore Scorecard
Notes Links

The first virus known to infect human beings was discovered in 1901 and named "yellow fever virus." There are 219 virus species that are known to be able to infect humans...and three to four new species are still being found every year.(National Center for Biotechnology Information)

The roots of the modern computer virus go back to 1949, when computer pioneer John von Neumann presented a paper on the "Theory and Organization of Complicated Automata," in which he postulated that a computer program could reproduce. ...The term "computer virus" was coined in the early 1980s. Fred Cohen, then a Ph.D. student at the University of Southern California, came up with the idea of using self-replicating software, which spreads by attaching itself to existing programs as a way of attacking the security of multi-user computing systems. He showed this idea to Len Adleman, his thesis advisor. Adleman pointed out the similarity to a biological virus, which uses the resources of the cell it attacks to reproduce itself, and the term "computer virus" began its journey into everyday English. (Scientific American)

Rosters
TOP


Computer Viruses

Stuxnet
Stuxnet is a malicious computer virus, first uncovered in 2010. It is a multi-part worm that travels on Universal Serial Bus (USB) sticks and spreads through Microsoft Windows computers. The virus searches infected PCs for signs of Siemens Step 7 software, used by Programmable Logic Controllers (PLCs) in industrial computers. (https://www.csoonline.com/article/3218104/what-is-stuxnet-who-created-it-and-how-does-it-work.html)
Leftfield

Stuxnet Code
Morris
Named for Robert Tappan Morris, 23, a Cornell Graduate student, the Morris Worm was unleashed on November 2, 1988 from a computer at the Massachusetts Institute of Technology (MIT). Within a day some 6,000 of the 60,000 computers connected to the Internet had been infected. "Vital military and university functions slowed to a crawl." (FBI, The Morris Worm). In 1990 Morris was convicted under the 1986 Computer Fraud & Abuse Act, but he did not get sent to jail.
Shortstop

Morris Source Code Artifact
Blaster
Two days after its discovery on August 11, 2003, the Blaster Worm (named for the file that executes the worm, msblast.exe), had infected an estimated 188,000 computers. Eventually millions of computers were infected including collapsing the CTX railroad system, the U.S. Navy/Marine Corps intranet, Air Canada's computers were infected, BMW's computers slowed down measurably and Philadelphia's City Hall computer network crept to a halt. (http://virus.wikidot.com/blaster)
Rightfield

Blaster Worm
Creeper
According to the Institute of Electrical and Electronics Engineers Computer Society, the release of the Creeper program in 1971 represents the first computer virus. Created at the Cambridge, Massachusetts-based company, Bolt Beranek and Newman (BBN), the virus replicated itself in a computer's hard drive storage disk until the computer could no longer function. (https://www.theguardian.com/technology/2009/oct/23/internet-history)
Secondbase

Creeper Virus
Melissa
Named for a Miami Beach stripper the Melissa virus appeared on March 26, 1999. David Lee Smith hijacked an America Online (AOL) account and sent an email with a Microsoft Word document attached that contained passwords for various pornography-related websites. When the Word attachment was opened the virus was activated which accessed a user's Microsoft Outlook Contact list and sent emails with the virus attached to the firt 50 contacts. The FBI estimated that Melissa cost $80 million dollar as email servers crashed and the internet slowed down. (https://www.fbi.gov/news/stories/melissa-virus-20th-anniversary-032519)
Thirdbase

Melissa Virus
Elk Cloner
The Elk Cloner was created as a prank virus in February 1982 by 15-year-old Rich Skrenta, a high school student in Pittsburgh, Pennsylvania. It was one of the first viruses to infect Apple II computers. Elk Cloner traveled via 5.25 inch floppy disks (a popular storage standard in 1982). On the 50th booting of the infected disk, a poem would be displayed. Elk Cloner was more annoying then malicious...and notable for being an personal computer virus. (http://www.skrenta.com/cloner/")
Firstbase

Elk Cloner
Storm
The Storm Worm is a backdoor Trojan horse that affects computers using Microsoft operating systems, discovered on January 17, 2007 [wikipedia] / It was late 2006 when computer security experts first identified the worm. The public began to call the virus the Storm Worm because one of the e-mail messages carrying the virus had as its subject "230 dead as storm batters Europe." The Storm Worm is a Trojan horse program. Its payload is another program, though not always the same one. Some versions of the Storm Worm turn computers into zombies or bots. As computers become infected, they become vulnerable to remote control by the person behind the attack. (howstuffworks.com)
Catcher

Storm Worm Virus
Slammer
Richard III described Slammer as an “extremely fast-spreading computer worm that infected the majority of infectable hosts within minutes.” Slammer first hit the Internet at 5:30 AM, GMT on January 25, 2003. Ten minutes later, 75,000 computers were infected with the worm. The genius of the worm’s design related to its size, as, at only a few hundred bytes long, the whole program fit within a single UDP packet. (f-secure.com)
Centerfield

Slammer Worm Virus
Code Red
Named after the Mountain Dew drink favored by the first researchers to analyze the program, Code Red first appeared in July, 2001. The virus infected as many as 360,000 computers in a single day. The infection proved so hard to stop because the worm would continually re-infect the same computer it had been cleaned from. Code Red attacked Microsoft IS servers, and caused massive denial of service problems as it ate up computing resources and IT personnel time. (popsci.com)
Pitcher

Code Red

Human Viruses

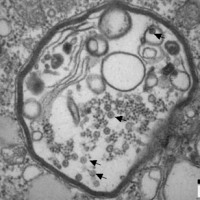
Rabies Virus
The rabies virus is a single-stranded, bullet-shaped, enveloped RNA virus. The viral disease causes inflammation of the brain in humans and other mammals. Rabies has been known since at least 2000 BCE, according to The Journal of the Royal Asiatic Society of Great Britain & Ireland The first written record of rabies is in the Mesopotamian Codex of Eshnunna (circa 1930 BCE. The term "rabies" comes from the Latin word for "rage" or "madness" possibly related to the Sanskrit rabhas
Firstbase

Rabies Electron Micrograph
Horsepox Virus
The Orthopoxvirus is a genus of viruses in the family Poxviridae and subfamily Chordopoxvirinae. Vertebrates, including mammals and humans, and arthropods serve as natural hosts. Diseases associated with this genus include smallpox, cowpox, horsepox, camelpox, and monkeypox. No horsepox cases have been notified to authorities since the 1980s. (https://thehorse.com/148618/has-horsepox-gone-extinct/)
Thirdbase

Horsepox Electron Micrograph
Zika Virus
First identified in Uganda in 1947 in monkeys, Zika was later identified in humans in 1952. The first large outbreak of disease caused by Zika infection was reported from the Island of Yap (in Micronesia) in 2007. Zika is a flavivirus transmitted mainly by mosquitoes. In 2016 WHO declared that Zika infection a Public Health Emergency of International Concern (PHEIC). Zika virus infections are expected to be carried worldwide by international travel. (https://www.who.int/bulletin/online_first/16-171082/en/)
Leftfield

Aichi Virus
Aichi Virus is a species in the genus Kobuvirus, a member of the Picornaviridae family. These are small non-enveloped icosahedral viruses, containing a single-stranded, positive sense RNA genome. Originally identified after a 1989 outbreak of acute gastroenteritis in the Aichi Prefecture in Japan (the virus was linked to raw oysters.) The Aichi Virus has subsequently been isolated in studies of Finnish children, Pakistani children, and Japanese travelers. (https://en.wikipedia.org/wiki/Aichivirus_A)
Rightfield

Structure of the Aichi Virus 1
Machupo Virus
Machupo virus emerged in Bolivia in 1952 among people attempting subsistence agriculture at the borders of tropical grassland and forest. The virus is transmitted by large vesper mice (Calomys callosus). Control of the rodents in dwellings in the endemic area by trapping resulted in the disappearance of the disease for many years, but in the 1990s cases reappeared, again starting on farms and then moving into villages. (https://www.sciencedirect.com/topics/neuroscience/machupo-virus)
Catcher

Machupo Virus
New York Virus
New York Virus is a hantavirus that is carried and transmitted by the white-footed mouse (Peromyscus leucopus). Hantavirus was first recognized as an infectious disease in the early 1950s when a cluster of 3,000 United Nation troops stationed in Korea was struck by a mysterious illness. The hantaviruses that cause human illness in the United States are not known to be transmitted by any types of animals other than certain species of rodents. (https://www.cdc.gov/hantavirus/rodents/)
Secondbase

Rubella Virus
Rubella, also called German measles (because German physicians first identified the disease in 1814) is a contagious viral infection best known by its distinctive red rash. Most people who get rubella usually have a mild illness. Rubella can have serious consequences if the infection occurs during pregnancy. Rubella is not the same as measles (rubeola). (mayoclinic.org)
Centerfield

Rubella Virus Micrograph
Banna Virus
The Banna Virus (BAV) was first isolated in 1987 from the cerebrospinal fluid of encephalitis patients in Xishuangbanna, Yunnan province, People's Republic of China. It belongs to the Reoviridae, a family of segmented, non-enveloped, double-stranded RNA viruses. BAV is primarily transmitted to humans from the bite of infected mosquitoes of the genus Culex. Banna Virus is suspected to be a pathogen of vertebrates and an encephalitis pathogen for humans. (https://www.ncbi.nlm.nih.gov/pmc/articles/PMC2600385/)
Shortstop

Banna Virus Micrograph
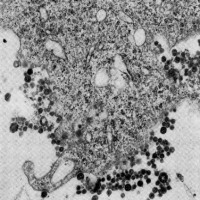
Smallpox Virus
An acute contagious viral disease, with fever and pustules usually leaving permanent scars. It was effectively eradicated through vaccination by 1979. Smallpox is thought to have originated in India or Egypt at least 3,000 years ago. The earliest evidence for the disease comes from the Egyptian Pharaoh Ramses V, who died in 1157 B.C. His mummified remains show telltale pockmarks on his skin. The earliest written description of a disease that clearly resembles smallpox appeared in China in the 4th century AD. In the 16th and 17th centuries European colonization and the African slave trade brough smallpox to the Americas.
Pitcher

Smallpox Electron Micrograph

Linescore
TOP

Boxscore
TOP

Scorecard
TOP

     Inn. 1: Computer Viruses
[Starter] Smallpox Virus
Stuxnet           4          . . .
Morris Worm       1B         . . X
Blaster           4          . . X
Creeper           6          . . X
     Inn. 1: Human Viruses
[Starter] Code Red
Rabies Virus      8          . . .
Horsepox Virus    5-3        . . .
Zika Virus        4-3        . . .
     Inn. 2: Computer Viruses
Melissa Worm      2B/E-8     X . .
Elk Cloner        4-3        X . .
Storm Worm        BB         X . X
Slammer           1B         X . X 1
*SB:Slammer       SB         X X .
Code Red          6-3        X . . 1
Stuxnet           9          X . .
     Inn. 2: Human Viruses
Aichi Virus       HR         . . . 1
Machupo Virus     1B         . . X
New York Virus    BB         . X X
Rubella Virus     K          . X X
Banna Virus       8          . X X
Smallpox Virus    1B         X X . 1
Rabies Virus      1B         . . X 2
Horsepox Virus    BB         . X X
Zika Virus        K          . X X
     Inn. 3: Computer Viruses
Morris Worm       1B         . . X
Blaster           K          . . X
Creeper           E-8        . X . 1
Melissa Worm      6-3        . X .
Elk Cloner        K          . X .
     Inn. 3: Human Viruses
Aichi Virus       K          . . .
Machupo Virus     BB         . . X
New York Virus    1B         . X X
Rubella Virus     1B         X X X
Banna Virus       6-4-3 DP   X . .
     Inn. 4: Computer Viruses
Storm Worm        6-3        . . .
Slammer           1B         . . X
Code Red          5-3 SAC    . X .
Stuxnet           2 (Foul)   . X .
     Inn. 4: Human Viruses
Smallpox Virus    K-DTS PB   . . X
Rabies Virus      4          . . X
Horsepox Virus    BB         . X X
Zika Virus        7          . X X
Aichi Virus       K          . X X
     Inn. 5: Computer Viruses
Morris Worm       7          . . .
Blaster           8          . . .
Creeper           9          . . .
     Inn. 5: Human Viruses
Machupo Virus     1B         . . X
New York Virus    4-6 F      . . X
Rubella Virus     BB         . X X
Banna Virus       1B         X X X
Smallpox Virus    4UN F      X . X 1
Rabies Virus      1B         . X X 1
Horsepox Virus    BB         X X X
                  PB         X X . 1
[Relief] Agobot
Zika Virus        1B         . . X 1
X@4:Horsepox Virus9-2        . . X
     Inn. 6: Computer Viruses
Melissa Worm      1B         . . X
Elk Cloner        BB         . X X
Storm Worm        K          . X X
Slammer           8          . X X
Agobot            6-3        X X .
     Inn. 6: Human Viruses
Aichi Virus       HR         . . . 1
Machupo Virus     4          . . .
New York Virus    5-3        . . .
Rubella Virus     2B         . X .
Banna Virus       BB         . X X
Smallpox Virus    6-3        X X .
     Inn. 7: Computer Viruses
Stuxnet           4-3        . . .
Morris Worm       K          . . .
Blaster           BB         . . X
Creeper           1-3        . X .
     Inn. 7: Human Viruses
Rabies Virus      6          . . .
Horsepox Virus    6-3        . . .
Zika Virus        7          . . .
     Inn. 8: Computer Viruses
Melissa Worm      5-3        . . .
Elk Cloner        BB         . . X
Storm Worm        6-3        . X .
*EX:Slammer (for PH)
*PH:ILOVEYOU      BB         . X X
Agobot            E-7        . X . 2
Stuxnet           8          . X .
     Inn. 8: Human Viruses
Aichi Virus       1B         . . X
Machupo Virus     8          . . X
New York Virus    8          . . X
Rubella Virus     1B         . X X
Banna Virus       4-3        X X .
     Inn. 9: Computer Viruses
Morris Worm       BB         . . X
Blaster           K          . . X
                  PB         . X .
Creeper           K          . X .
Melissa Worm      Int BB     . X X
[Relief] Cowpox Virus
[SUB]Measles Virus(CF) for Rub
[DBL-SW]Measles Virus bats #9
        Cowpox Virus bats #7
Elk Cloner        6-3        X X .
Human Viruses WIN 9-5

Notes
TOP

Game Date June 8, 2020
Game Duration 3 Hours, 5 Minutes
Game Weather Cloudy. 63oF
Wind E 10mph
Game Umpires Jeffrey Epstein

"There were doctors and psychiatrists and gynecologist visits. There were dentists who whitened our teeth. There was a doctor who gave me Xanax." -A Jeffrey Epstein Victim.

Shiro Ishrii

Japanese microbiologist, the director of Unit 731, a biological warfare unit of the Imperial Japanese Army. Ishii escaped war-crimes prosecution because the United States considered his knowledge invaluable. Ishii's information was "absolutely invaluable;" it "could never have been obtained in the United States because of scruples attached to experiments on humans" (see Poisoner in Chief by Stephen Kinzer and wikipedia.org)

Ajai Mathew Thomas

Also known as Mathew Martoma was expelled from Harvard Law School in 1999 for lying. Thomas used computer software to create a fake transcript with better grades. He received an MBA degree from Stanford University in 2003 but this was taken back by the university after he was convicted of securities fraud and conspiracy in 2014. (During the trial it was revealed he lied on his Stanford application.) Martona is in federal prison and scheduled to be released in 2022.

Game MCP
Most Cosmic Player
Rabies Virus

Game Scorer Electron Microscope

Game Announcer John B. Hamilton

Links
TOP


*****
Top
Updated: August 12, 2020

03182020105555